Services

Welcome to Khumbila Dental Clinic, where we provide comprehensive dental services to patients of all ages. Our highly skilled team of dental professionals is dedicated to delivering top-quality care in a comfortable and welcoming environment. We offer a wide range of services, including preventive care, restorative treatments, cosmetic dentistry, and more. Our goal is to help you achieve optimal oral health and a beautiful smile that you can be proud of. We are committed to using the latest technology and techniques to ensure that our patients receive the best possible care. At Khumbila Dental Clinic, we believe that a healthy smile is a key component of overall wellness, and we look forward to helping you achieve your dental goals.

Scaling Cleaning

Teeth scaling is a dental procedure used to remove plaque and tartar (hardened plaque) from the surfaces of the teeth, both above and below the gum line. The process typically involves the use of specialized instruments, such as scalers and curettes, to scrape away the buildup of plaque and tartar. Scaling is typically performed by a dental hygienist or dentist and is often done in conjunction with a tooth polishing procedure to leave the teeth smooth and clean. Scaling is an important part of maintaining oral hygiene and preventing tooth decay and gum disease.

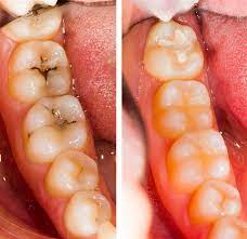
Dental Filling

At our clinic, we offer dental filling services to restore teeth that have been affected by decay, wear, or damage. Our experienced team of dental professionals uses high-quality materials to fill cavities and prevent further decay or damage to your teeth. We offer a variety of filling options for composite fillings that blend seamlessly with your natural teeth for a more aesthetically pleasing result. We also provide numbing options to ensure a comfortable and pain-free experience during the procedure. If you suspect you have a cavity or need a filling, schedule a consultation with us today to discuss your options and find the best solution for your dental needs.

Braces

Teeth braces, also known as orthodontic braces, are devices that are used to straighten and align teeth. They are typically made of metal brackets and wires that are attached to the teeth and slowly move them into the correct position over time. The braces are adjusted regularly by an orthodontist to gradually straighten the teeth.

Aligners

Invisible aligners, also known as clear aligners or teeth aligners, are a type of orthodontic treatment that use clear, removable plastic trays to straighten teeth. These aligners are custom-made to fit over the patient’s teeth and are worn for most of the day and night. The aligners are designed to gradually shift the teeth into their correct position. They are less visible than traditional braces and are removed for eating and brushing. Both traditional braces and aligners are effective at straightening teeth, but the choice of which one to use depends on the individual case and the patient’s preference.

RCT (Root Canal Treatment)

Root canal treatment, also known as endodontic therapy, is a dental procedure used to remove infected or damaged tissue from inside a tooth. The procedure involves cleaning out the infected pulp (the soft tissue inside the tooth that contains blood vessels, nerves, and other cells) and filling the tooth with a material called gutta-percha. This procedure is typically done to save a tooth that would otherwise need to be extracted. The procedure is done under local anaesthesia so you will be awake and able to respond to your dentist.

Missing Teeth

At Khumbila Dental Clinic, we understand that missing teeth can have a significant impact on your confidence and quality of life. That’s why we offer a variety of solutions to help restore your smile and improve your oral health. Our experienced team of dental professionals can provide personalized treatment plans tailored to your individual needs and goals. We offer a range of restorative options, including dental implants, bridges, and dentures, to replace missing teeth and improve your bite. Our team utilizes state-of-the-art technology and techniques to ensure that your restoration is comfortable, durable, and aesthetically pleasing. We believe that everyone deserves to have a healthy, beautiful smile, and we are committed to helping you achieve that with our comprehensive dental services.

Wisdom Teeth Removal

At Khumbila Dental Clinic, we also provide wisdom teeth removal services. Wisdom teeth, also known as third molars, can cause pain, infection, and other oral health issues if they don’t have enough space to properly emerge or are impacted. Our experienced team can safely and comfortably extract your wisdom teeth, helping to prevent potential complications and improve your overall oral health. We use the latest techniques and anaesthesia options to ensure a pain-free and stress-free procedure. If you’re experiencing discomfort or have concerns about your wisdom teeth, schedule a consultation with our team to discuss your options.

Veneers

Veneers are thin, custom-made shells that are bonded to the front surface of teeth to improve their appearance. They are used to correct issues such as chips, cracks, gaps, discolouration, and misalignment. Veneers are typically made of porcelain or resin and are a popular cosmetic dental procedure.

Whitening / Bleaching

We understand the importance of having a bright, white smile that you can be proud of. That’s why we offer professional teeth whitening and bleaching services to enhance the appearance of your teeth. Our dental professionals use safe and effective whitening products that are specially formulated to remove stubborn stains and discolouration caused by ageing, diet, and other factors. With our teeth whitening and bleaching services, you can achieve a brighter, more confident smile in just one visit. Schedule a consultation with us today to learn more about how we can help you achieve a radiant smile.

Dental Implants

Dental implants are artificial tooth roots that provide a permanent base for fixed/removable replacement teeth. They are made of titanium and other biocompatible materials and are surgically placed into the jawbone to support the replacement teeth. They are a popular and effective solution for people who have lost teeth due to injury, periodontal disease, or other reasons. They can restore the appearance, function, and feel of natural teeth.

Crowns and Bridges

We also offer a range of dental crown and bridge options to suit your individual needs and preferences. We use high-quality materials and the latest technology to create custom-fitted restorations that provide both functional and aesthetic benefits. Our options include metal crowns, which are strong and durable and often used for back teeth, porcelain fused to metal crowns, which offer a natural appearance with added strength, and all-ceramic crowns like Zirconia crowns, which are highly aesthetic and biocompatible, making them an ideal for those who want metal-free options.

Child/Kids Dental

Child dental, also known as pediatric dentistry, is a specialized branch of dentistry that focuses on the oral health of children from infancy to adolescence. Pediatric dentists provide preventive and therapeutic dental care, including cleanings, fluoride treatments, and fillings, as well as guidance on oral hygiene and injury prevention. They aim to promote healthy teeth and gums, prevent dental problems, and educate children on the importance of good oral health habits. The goal of pediatric dentistry is to ensure that children have a positive and healthy experience with dental care and to lay the foundation for a lifetime of healthy teeth and gums.

Dental Tourism

Dental tourism is the concept of travelling to foreign countries to get quality dental treatments at a lower cost and combining it with spending your vacation with exciting activities that your destination offers such as tours and visiting families. Nepal has been one of the best destinations for dental tourism where they get international standard dental treatment from qualified dentists at affordable prices. Khumbila Dental Clinic regularly caters dental treatment services to patients coming from many countries around the world, mostly from USA, Canada, and UK.